In diesem Online-Training werden Ihnen der Aufbau und die Basisfunktionen der Stationsansicht erläutert.
Bearbeitungszeit: ca. 14 Minuten
Zielgruppe: Pflegekräfte auf Stationen
In diesem Online-Training werden Ihnen der Aufbau und die Basisfunktionen der Stationsansicht erläutert.
Bearbeitungszeit: ca. 14 Minuten
Zielgruppe: Pflegekräfte auf Stationen
In diesem Online-Training erfahren Sie, wie Sie mithilfe der Pflegemaßnahmen Liste Pflegemaßnahmen dokumentieren.
Zielgruppe: Pflegepersonal
Bearbeitungszeit: ca. 9 Minuten
In diesem Online-Training erfahren Sie, wie Sie in der Pflegeübersicht zu einem stationären Patienten ein Pflegeproblem anlegen und entsprechende Pflegemaßnahmen planen.
Zielgruppe: Pflegepersonal
Bearbeitungszeit: ca. 12 Minuten
DIES IST EIN AUSZUG DES ORBIS ONLINE-TRAININGS!
Dieser Test prüft das Erlernte aus folgendem Training: Anordnungen
Zielgruppe: Ärzte
Bearbeitungszeit: ca. 5 Minuten (gekürzte Version: ca. 2 Minuten)
Version: 1.1
WBT: WBT_ORBIS_0521_DE
Paket: Basiswissen ORBIS Medication
DIES IST EIN AUSZUG DES ORBIS ONLINE-TRAININGS!
Anordnungen
Wie werden in ORBIS Medication verschiedene Medikationsarten angeordnet?
In diesem Online-Training lernen Sie, wie Sie im Ordner Medikation ein Medikament anordnen.
Zudem erfahren Sie die Besonderheiten beim Anordnen verschiedener Medikationsarten, beispielsweise bei einer kontinuierlichen Infusion.
Zielgruppe: Ärzte
Bearbeitungszeit: ca. 50 Minuten (gekürzte Version: ca. 4 Minuten)
Version: 3.1
WBT: WBT_ORBIS_0520_DE
Paket: Basiswissen ORBIS Medication
In diesem Training lernen Sie den Aufbau der Administrationsoberfläche des DeepUnity DICOM Services kennen. Sie lernen den Umgang und die Administration sowie die Korrektur und das Löschen von Patientendaten.
Zielgruppe: Anwender mit administrativen Berechtigungen, KeyUser und IT (mit und ohne Vorkenntnisse)
Dauer: ca. 9 Minuten
Zu einem stationären Patienten wurde mithilfe des Assessments epaAC ein Pflegeproblem ermittelt.
In diesem Online-Training erfahren Sie, wie Sie zu dem Pflegeproblem in der Pflegemaßnahmen Liste entsprechende Pflegemaßnahmen planen.
Zielgruppe: Pflege
Bearbeitungszeit: ca. 7 Minuten
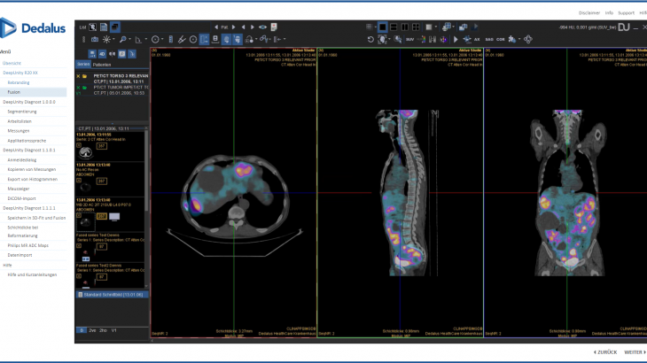
In diesem Training lernen Sie die für Anwender wichtigen Neuerungen der Versionen DeepUnity Diagnost 1.2.0.0 sowie DeepUnity Diagnost 1.2.0.1 kennen. Informationen zur grundsätzlichen Bedienung des DeepUnity Clients erhalten Sie im Training Grundlagen DeepUnity Diagnost.
Zielgruppe: Im Umgang mit radiologischen Bildern medizinisch geschultes Personal (mit Vorkenntnissen: Training Grundlagen DeepUnity Diagnost).
Bearbeitungszeit: ca. 17 Minuten
In diesem Training lernen Sie die für Anwender wichtigen Neuerungen der Versionen DeepUnity R20 XX, DeepUnity Diagnost 1.0.0.0, DeepUnity Diagnost 1.1.0.1 sowie DeepUnity Diagnost 1.1.1.1 kennen. Informationen zur grundsätzlichen Bedienung des DeepUnity Clients erhalten Sie im Training Grundlagen DeepUnity Diagnost.
Zielgruppe: Im Umgang mit radiologischen Bildern medizinisch geschultes Personal (mit Vorkenntnissen: Training Grundlagen DeepUnity Diagnost).
Bearbeitungszeit: ca. 25 Minuten